ABOUT INVISALIGN

矯正治療について知る}


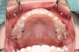
マウスピース型矯正装置による矯正治療は、

  • 透明で目立たない、気づかれにくい
  • 取り外しができてむし歯のリスクを下げることができる
  • スポーツ、習い事のときでも安心して装置をつけていられる

といった多くのメリットがありながらも、これまでは主に永久歯(大人の歯)に対する矯正治療に使用されてきました。

矯正治療のご経験がある親御さんならお分かりかもしれませんが、子供のころは「透明なマウスピース矯正」という選択肢はなかったのではないでしょうか。

しかしながら現在では、著しい技術進歩により、混合歯列期(乳歯と永久歯が混在する学童期)の矯正治療にも対応可能になりました。

福岡MA矯正歯科では、成人の方はもちろんお子さまにも、透明で目立たないこの治療方法をご提供しています。

お子さまの成長段階に合わせた治療が可能です

マウスピース型矯正装置は、年齢や口腔内の状況に応じて、青年期(成人)向けライン、若年層(中学~高校生)向けライン、そして小児向けラインなどが開発されています。

いずれも透明なマウスピースを使用するため見た目の違いは分かりづらいのですが、小学生期においては、

  • 乳歯と永久歯が混在していること
  • 顎や骨が発達途中にあること

など、他の世代と比べて大きな特徴があるため、矯正装置にもそうした年齢の治療に特化した機能が追加されています。

従来の小児矯正とは異なるアプローチが可能に

小児矯正治療は、I期治療とII期治療という2つのステップに分けて進めるという特徴がありますが、ブラケット矯正とマウスピース型矯正装置による矯正治療では各ステップの目的が異なります。

従来の小児矯正の流れ

I期治療は乳歯が残っている時期に始める治療で、拡大床と呼ばれる装置を装着し、力を加えながら少しずつ顎を広げていきます。

II期治療は永久歯が生えそろってから行う治療であり、歯をキレイに並べるための治療です。I期治療が終わった後、保定や経過観察を行いながら適正なタイミングを待って治療がスタートします。

I期治療は「準備矯正」とも呼ばれ、

  • II期治療の期間をより正確に行う
  • II期治療の治療期間を短くする

といったメリットがあるものの、肝心の歯並び・見た目の改善は、II期治療に入ってからでなければ行うことができませんでした。

マウスピース型矯正装置による矯正治療の流れ

対して、マウスピース型矯正装置による矯正治療では、混合歯列期のI期治療を行う段階で顎を広げるだけでなく「1つ1つの歯を動かして、歯をきれいに並べることができる」という特徴も持ち併せています。

マウスピース型矯正装置によってI期治療を行う場合、治療開始より18ヶ月以内を目安に治療が完了することができます。顎の大きさを広げるのと同時に、気になっている歯のねじれやガタガタ、隙間などに対しても細かく歯の位置を修正することが可能であり、18ヶ月という限られた治療期間で見た目にも大きな変化が期待できるのです。

また、矯正で使用するマウスピースは成人と同様に取り外しができ、1週間に1回程度、新しいものに交換できるため、歯磨きなども普段通りすることができます。

小学生期のお子さまの治療は、本人はもちろん保護者の方の協力が不可欠となるため、治療期間が短く、装置やお口の管理が容易であることは、お子さまの矯正治療にとって重要なポイントとなるのではないでしょうか。



歯式:永久歯の名前 上顎 下顎
1番:中切歯 7~8歳 6~7歳
2番:側切歯 8~9歳 7~8歳
3番:犬歯 11~12歳 9~10歳
4番:第一小臼歯 10~11歳 10~12歳
5番:第二小臼歯 10~12歳 11~12歳
6番:第一大臼歯(六歳臼歯) 6~7歳 6~7歳
7番:第二大臼歯 12~13歳 11~13歳
8番:第三大臼歯(親知らず) 17~21歳
※生えないこともあります
17~21歳
※生えないこともあります

※生え変わりには個人差がありますので、上の時期はあくまでも目安です。

小学生のマウスピース型矯正装置とその他の装置(拡大床)の比較


拡大床の場合



治療のゴールは、顎の大きさを広げるのみです。


  • 治療期間は、6~24か月。(※個人差あり)
  • 取り外しは、できません。
  • 基本的には、2年間同じ装置を使用します。
  • 見た目は、針金が少し目立ちます。
  • シミュレーションソフトは使用しません。

マウスピース型矯正装置の場合



治療のゴールは、顎の大きさを広げるだけではなく、それと同時に気になっている歯のねじれやガタガタ、隙間などに対しても細かく歯の位置を修正することです。


  • 治療期間は、18か月。
  • 取り外しができます。食事や歯磨きも普段通りに行えます。矯正装置による虫歯のリスクは固定式の装置に比べ格段に少ないと考えられます。
  • 定期的(平均2週間に1度)に新しいマウスピースに交換していくので衛生的です。
  • 透明なマウスピースを装着するので、装置をつけていても目立ちません。
  • シミュレーションソフトによる治療計画の立案と治療中の経過検証が可能です。

※シミュレーションソフトとは?
 3Dで取り込んだ歯型のデータをもとに治療計画(事前シミュレーション)を作る歯科矯正用治療支援プログラムです。矯正治療によってお子さんの歯並びがどのように変わっていくかを治療開始前に確認していただくことが可能です。また、治療中もシミュレーション動画と比較することで治療が順調に進んでいるかどうかを検証することもできます。


矯正治療を通じて得られるメリット


  • まだ小学生だし、矯正治療はまだ早すぎるかな?
  • このくらいの歯並びなら、本人もあまり気にしないのでは?
  • もう少し様子を見て、矯正治療が必要か考えようかな?

小学生のお子さまについて、矯正治療をするべきかどうか、またそのタイミングについて迷われる親御さんも多いのではないでしょうか?

「そもそも治療が必要かどうか」「いつから開始するのが良いか」「どんな治療が必要か」といったことは、診査・診断を行ったうえで総合的に判断する必要があり、症例によっては「矯正の必要はない」と診断されるケースももちろんあります。

ただ、小学生期という早い段階で矯正を始めることには、体が成長した後には手にすることのできない多くのメリットがあります。

お子さまの歯並びで少しでも気になることがある場合には、一度ご相談いただくことをお勧めしています。

メリット1:抜歯のリスクを下げることができる

顎の幅を広げたり歯を動かしたりできるのは、骨格が発達段階にあり永久歯がまだ生えそろっていない子どもの時期にしかできないことです。
永久歯を受け入れるスペースを確保できるため、抜歯のリスクを下げることが可能です。

メリット2:歯ブラシの基本が身につく

歯ブラシがまだ上手にできない、歯ブラシに関心の低い学童期に矯正装置をつけることに心配がある方もいらっしゃるのではないでしょうか。ブラケットや拡大相など、装置の構造が複雑になるとお手入れも大変になり、虫歯や歯肉炎のリスクも高くなります。

乳歯のむし歯は、永久歯の歯並びにも影響があることが知られており、いかにお口の中のリスクを下げるかということも考慮する必要があります。

マウスピース型矯正装置は取り外しができるため清掃性にも優れているので、お子さまの大切な歯をリスクから守ることができます。

メリット3:歯並びを悪くする習癖を見直すことができる

爪咬み、指しゃぶりといった習癖は、歯に意図しない力を加えるため、歯並びにも影響を与えます。一概には言えませんが、幼児期の指しゃぶりであれば~3才くらいまでなら生理的なものと考えられ、必要以上に心配することもありません。しかし、4才以降で癖が抜けなかったり、歯並びに影響が見え始めているようであれば改善が必要です。
この他にも、舌で歯を押す癖や唇をかむ癖なども、歯並びに影響がないかチェックしていくことが大切です。


小学生から始めるマウスピース型矯正装置による矯正治療の適齢期について


混合歯列期に小学生から始めるマウスピース型矯正装置による治療を開始するためには、次のような適応条件があります。

  1. 第一大臼歯が萌出している
  2. 切歯のうち少なくとも2歯が2/3以上萌出している
  3. 少なくとも3/4顎に乳歯(C、D、E)または未萌出の永久歯(3、4、5)が2歯以上ある

分かりやすくお伝えすると、小学校低学年の年齢が概ねこの時期に該当します。
これらを満たす場合に治療を始めることができ、早期に歯並びや骨格へアプローチを開始することができるのです。


I期治療はいつから始めるのが最適か?


お子様が小学生になられる6~7歳ごろ、乳歯の下には永久歯が埋もれた状態になっています。6歳ころから生え変わる第一大臼歯(6才臼歯)に始まり、12~13歳ころまで、時間をかけて全ての歯が永久歯に生え変わっていきます。

お子様が小学生になられる6~7歳ごろは、一生を通じてかみ合わせにとって重要な6歳臼歯(第一大臼歯)が生えてきたり、前歯が乳歯から永久歯に生え変わる時期で、アメリカ矯正歯科学会や日本矯正歯科学会においても矯正歯科医での歯並び・かみ合わせチェックを推奨している大切な時期です。

また、前歯の生え変わりによって見た目の歯並びが大きく変化する時期ですので、ご両親はもちろんお子様ご本人にとっても「この先どんな歯並びになるのだろう」とか「この歯の生え方は放っておいて大丈夫かな」などいろいろな疑問やご不安が出てくる時期でもあると思います。

この時期に矯正歯科医のチェックを受けることによって、治療が必要な場合には早期に異常を改善することができ、将来の歯並び・かみ合わせの問題が大きくなってしまうのを見逃さずに予防することができるとも考えます。


小学生高学年で急に歯並びが悪くなる理由とは?


小学校低学年では大きな問題がない場合でも、永久歯への生え変わりは第二大臼歯(12歳臼歯)が生えてくる中学生くらいまで続きます。大人の方の歯並びは1~2年で大きく変化することは考えにくいですが、学童期のお子様は体の成長と同じようにかみ合わせや歯並びも短期間に大きく変化いたします。

前歯の生え変わりの時期には気になることはなかったのに、小学校高学年になって八重歯が生えて急に歯並びが悪くなったとおっしゃられてご来院される場合もあります。

半年~1年に1度程度で構いませんので、矯正歯科での定期的な歯並び・かみ合わせのチェックをおすすめします。


治療の流れ


従来型型のⅠ期治療(準備矯正)と同じ流れになります。Ⅰ期治療では主に前歯の噛み合わせと歯並びのみ治していきます。その後は永久歯列が完成する中学生くらいまでリテーナーを使用し、Ⅱ期治療を行うかの再診断を行います。

Ⅱ期矯正をご希望の場合、「フェイズ2パッケージ」という10代と同じ装置を使用して治療を再開します。もちろん、Ⅱ期矯正治療もワイヤー装置ではなくマウスピース型矯正装置で治療を行いますのでご安心ください。

お子さまの最適な治療開始時期を逃さないために

矯正治療を開始する時期はお子さまの歯並び、かみ合わせによってさまざまです。生え変わりの早いお子様もいらっしゃればそうでないお子様もいらっしゃいます。

我々は、初診カウンセリングや定期的なチェックを通じて、そのお子様にとって最適な治療開始時期を選択し、その時期に短期的に集中して矯正治療を行うことで、効率の良い治療を行うのはもちろんですが、ご両親から見られても満足していただける歯並び・かみ合わせの変化をご提供できれば、と考えております。

まずはお気軽にご相談ください。

矯正カウンセリングはこちらから

他にも、お子さまにとってこのようなメリットが考えられます

【舌癖があるお子さまへ】
従来の床矯正では、舌の癖を予防する目的で「タングリブ」という柵のような装置を用いていました。マウスピース矯正(インビザライン)は、舌で歯を押してしまう癖に起因する「開咬(オープンバイト)」の治療を得意としておりますので、舌の癖が見られるお子さまの矯正治療も可能です。

【奥歯を後ろへ移動させることができる】
マウスピース型カスタムメイド矯正歯科装置(製品名インビザライン完成物薬機法対象外)は、奥歯を後ろに移動する遠心移動を得意としており、またマウスピースを歯に被せることで奥歯が伸びてしまうのを防ぐ効果も持っています。従来の矯正治療ですと、同様の効果を求める場合「ヘッドギア」を使用するケースもあるため、お子さまにとっても負担が少ないのがマウスピース型カスタムメイド矯正歯科装置(製品名インビザライン完成物薬機法対象外)の特徴と言えます。

【顎を広げることも可能】
歯並びを整えるのに必要なスペースを確保するために「拡大床」と呼ばれる装置をつかって顎を広げる方法がありますが、マウスピース型カスタムメイド矯正歯科装置(製品名インビザライン完成物薬機法対象外)では顎を広げると同時に歯並びを整えることも可能です。拡大床だけを使うよキレイな仕上がりが期待できるのが特徴です。

小学生期のお子さまをお持ちの保護者様へ

6~7歳頃は大切な時期


歯磨き指導を受ける男の子

お子様が小学生になられる6~7歳ごろは、一生を通じてかみ合わせにとって重要な6歳臼歯(第一大臼歯)が生えてきたり、前歯が乳歯から永久歯に生え変わる時期で、アメリカ矯正歯科学会や日本矯正歯科学会においても矯正歯科医での歯並び・かみ合わせチェックを推奨している大切な時期です。
また、前歯の生え変わりによって見た目の歯並びが大きく変化する時期ですので、ご両親はもちろんお子様ご本人にとっても「この先どんな歯並びになるのだろう」とか「この歯の生え方は放っておいて大丈夫かな」などいろいろな疑問やご不安が出てくる時期でもあると思います。

この時期に矯正歯科医のチェックを受けることによって、治療が必要な場合には早期に異常を改善することができ、将来の歯並び・かみ合わせの問題が大きくなってしまうのを見逃さずに予防することができるとも考えます。

小学生高学年で急に歯並びが悪くなる場合も


歯の模型を触る子供とそれを見守る歯科医師、母親

小学校低学年では大きな問題がない場合でも、永久歯への生え変わりは第二大臼歯(12歳臼歯)が生えてくる中学生くらいまで続きます。大人の方の歯並びは1~2年で大きく変化することは考えにくいですが、学童期のお子様は体の成長と同じようにかみ合わせや歯並びも短期間に大きく変化いたします。
前歯の生え変わりの時期には気になることはなかったのに、小学校高学年になって八重歯が生えて急に歯並びが悪くなったとおっしゃられてご来院される場合もございます。

半年~1年に1度程度で構いませんので、矯正歯科での定期的な歯並び・かみ合わせのチェックをおすすめします。

上顎を広げることは、鼻腔(鼻の通り)にも影響します

上顎には「正中口蓋縫合(せいちゅうほうがいこうごう」という骨の継ぎ目があります。この部分は、お子さまでは骨化しておらず(骨がつながっておらず)比較的容易に広げることが可能です。

上顎が成長することで歯並びが良くなるだけでなく、鼻腔が広がって鼻の通りがよくなったり、下顎とのバランスも整いやすくなります。受け口の傾向があるお子さまには上顎の成長を促してあげることも非常に大切なポイントです。

対して成人の場合は骨の成長が止まっているため、上あごを広げるためには、上顎にインプラントアンカー(骨の中に一時的に埋め込むネジのようなもの)を併用するなどして、強い力をかける必要があります。

骨の成長に合わせて上顎の成長を促すことができるのは、お子さまのうちに矯正治療を始めるうえで大きなメリットと言えます。

小学生からのマウスピース型カスタムメイド矯正歯科装置(製品名インビザライン 完成物薬機法対象外)の登場で小学生期の矯正治療が変わります

小学生期の矯正治療の大きな目的は将来の凸凹を少なくするために歯並びを受け入れる顎の骨の大きさを広げたり(歯列の拡大)、永久歯への生え変わりがスムーズに進むようにサポートすること(咬合誘導)などが主な目的でした。

しかし、小学生からのマウスピース型カスタムメイド矯正歯科装置(製品名インビザライン 完成物薬機法対象外)の登場により、ただ顎の大きさを広げるだけではなく、それと同時に気になっている歯のねじれやガタガタ、隙間などに対しても細かく歯の位置を修正することが可能であり、18カ月間という限られた治療期間で見た目にも大きな変化が期待できます。

お子さまの最適な治療開始時期を逃さないために

矯正治療を開始する時期はお子さまの歯並び、かみ合わせによってさまざまです。生え変わりの早いお子様もいらっしゃればそうでないお子様もいらっしゃいます。

我々は、初回カウンセリングや定期的なチェックを通じて、そのお子様にとって最適な治療開始時期を選択し、その時期に短期的に集中して矯正治療を行うことで、効率の良い治療を行うのはもちろんですが、ご両親から見られても満足していただける歯並び・かみ合わせの変化をご提供できれば、と考えております。

まずはお気軽にご相談ください。

初回カウンセリングについて詳しくはこちら