RESULTS

症例と治療例}

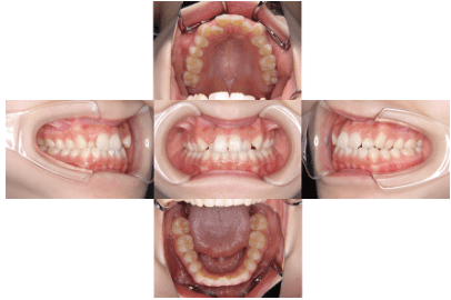
治療前


治療後


  • 初診時年齢:16歳
  • 主訴:叢生
  • 診断:叢生を伴う骨格性I級症例、非抜歯
  • 治療内容:顎が狭く、上の前歯が後ろに生えてしまい、ガタガタして上手く咬めない状態でした。幅を広くして、歯の角度を調整し、自然な位置に並べたので上手く咬めるようになりました。
  • 治療期間:2年
  • リスク:ブラックトライアングル(歯と歯の間と歯ぐきの間の三角形の隙間)が強くでる場合がある
  • 費用:90万円

少しでも当院の矯正治療に興味のございます方は、初診カウンセリング​からお申込みください。

初診カウンセリング


マウスピース型カスタムメイド矯正歯科装置(製品名インビザライン完成物薬機法対象外)


  • 福岡MA矯正歯科(以下、当院)が使用するマウスピース型カスタムメイド矯正歯科装置(製品名インビザライン 完成物薬機法対象外)は、日本国の薬機法上の医療機器および歯科技工士法上の矯正装置、日本国歯科技工士法上の矯正装置に該当しません。薬機法の対象外であるため、医薬品副作用被害救済制度の対象とならない場合があります。
  • 当院で使用しているマウスピース型カスタムメイド矯正歯科装置(製品名インビザライン完成物薬機法対象外)以外に、日本で承認を得ている医療機器・矯正装置は存在します。
  • 当院で使用しているマウスピース型カスタムメイド矯正歯科装置(製品名インビザライン完成物薬機法対象外)は、担当歯科医師の全責任において使用されるものです。

より詳しいご説明はコチラから

マウスピース型カスタムメイド矯正装置とは?

治療内容、およびメリット・デメリットについて

治療内容

■当院で行う矯正治療は、マウスピース型矯正装置を1日20時間以上(目安)装着して歯を移動させる治療法です。
■1週間~2週間毎に患者様ご自身で新しい装置へ交換していただくため、自己管理が重要です。
■装置の枚数、交換のタイミング、治療期間は患者様ごとに異なるため、担当医の指示に従って治療を受ける必要があります。

治療にかかる費用

■個々の症例により異なりますが、全顎の矯正治療にかかる費用は440,000円~880,000円 (税込み)です。
※矯正治療は自費診療(保険適応外)となります。
※適応は限られますが、軽度の方や部分矯正が可能な方に対応したものもございます。

考えられるリスク・注意点

■マウスピースは担当医の指示に従い、1日20時間以上装着する必要があります。
■口腔内の状況に応じて、本矯正治療では対応できないこと・または補助矯正器具が必要になるケースがあります。
■装着時間や経過観察を正しく行えない場合、良好な治療結果が得られない・治療期間が延長するなどのリスクが考えられます。
■新しい装置に交換後1~3日ほどは痛みや違和感が出ることがあります。
■治療後には、後戻りを防ぐために保定装置(リテーナー)の装着が必要です。
■薬機法未承認の矯正歯科装置であり、医薬品副作用被害救済制度の対象外となる場合があります。